首页 >> 新闻中心 >>科普文章 >> 一问一个不吱声,你不会也有“牙病拖延症吧”!
详细内容

一问一个不吱声,你不会也有“牙病拖延症吧”!

当你面对不舒服的情况时

是不是这样?

胃疼:

忍不了了,赶紧去医院!

头疼:

忍不了了,赶紧去医院!

牙疼:

没事...我还能忍!

一会儿就好了!

当代牙病患者现状

只要不是疼得睡不着觉

都能再坚持一下!


你是不是也有这种情况:

一吃甜的东西就牙疼,吃硬的食物也疼,刷牙的时候牙龈还出血了……到了晚上牙隐隐约约地疼,心烦意乱还睡不好。好不容易下定决心准备周末就去看牙补牙,结果周末又懒得出门在家躺了一天。再后来又牙疼,暗暗发誓一定去看牙医,等空闲了又没去看,反复疼、反复打脸…这就是牙病拖延症!

下面这些“牙病拖延症”,你中招了吗?

“洗牙拖延症”

image.png

明知道洗牙能清除牙菌斑和牙结石,还能及时发现口腔问题,但还是敌不过“懒癌”晚期,拖了几年都洗不了一次牙……你也这样吗?

“蛀牙拖延症”

image.png

爱吃零食爱喝饮料奶茶,刷牙也是敷衍了事,结果虫洞越来越大,一直忙忙忙,直到蛀牙严重到需要根管治疗,才后悔没早点去补牙。

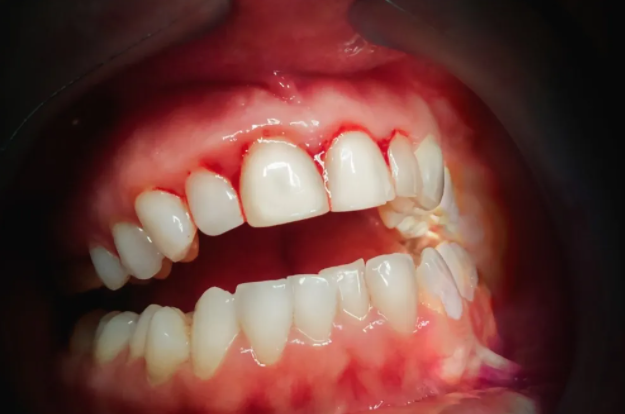
“牙龈出血拖延症”

image.png

还记得第一次看到牙龈出血吗?一开始内心还有一丝丝担忧,后来就习以为常了。牙龈出血常见于牙周病早期——牙龈炎,一直拖延下去很可能发展成牙周病,严重的话会导致牙齿脱落,直到全口无牙。

“牙齿缺失拖延症”

image.png

很多朋友都觉得“老掉牙”是正常发生的现象,不可能“逆天而行”,但事实上不是。而且一颗牙齿松动,会让邻牙也松动,如果不管不顾甚至会导致全口无牙!

image.png

及时拯救“牙病拖延症”

牙医能治牙,但是不卖后悔药!拖延一次两次也就算了,总不能让牙齿一直遭罪吧。别害怕看牙,记得早治早好,而且越早看牙越省钱哦!如果发现爷爷奶奶、爸妈有掉牙的情况,建议尽早带他们去口腔医院种牙、镶牙,以免波及邻牙,我们讲究“吃好喝好”,有一口好牙,长辈的晚年会更幸福哦。


Adress

嵊州市北直街2号二楼

(嵊州国际大酒店)

Email

szkq123456@163.com

Tel

0575-83736001

Time

上午8:30-12:00   

下午13:30-18:00

(夏令时)

seo seo